Last Updated on 8 ماه ago by م شجاعی
خلاصه کوتاه
بلیچینگ دندان یکی از پرطرفدارترین روشهای زیبایی در تهران است. هزینه آن در سال ۱۴۰۴ بسته به کلینیک، مواد مصرفی و شرایط اقتصادی متفاوت است. انتخاب کلینیک معتبر و رعایت بهداشت دهان میتواند بهترین نتیجه را برای سفید کردن دندانها تضمین کند.
قیمت بلیچینگ یا سفید کردن دندان در تهران
به طور کلی امروزه دندانپزشکی زیبایی در کشور ایران با طرفداران بسیار زیادی مواجه شده و اکثریت افراد به دنبال زیبا کردن دندان خود هستند. از این رو روش های متنوعی برای زیبا کردن دندان ها وجود دارد که یکی از آن ها بلیچینگ دندان است. امروزه کلینیک های زیادی اقدام به ارائه خدماتی همچون بلیچینگ دندان در تهران می کنند. از این رو با افزایش احداث این مراکز درمانی دسترسی مردم به این مراکز نیز راحت تر از گذشته شده است.
در حال حاضر این کلینیک ها لیست های قیمتی بسیار زیادی را برای خدمات مختلف خود از جمله بلیچینگ دندان ارائه می دهند. در نظر داشته باشید اگر چه کلینیک های بلیچینگ زیاد هستند اما تمامی آن ها فعالیت صحیحی را ندارند.
بلیچینگ دندان چیست؟
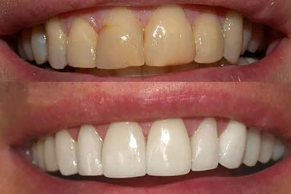
یکی از مسائلی که بسیاری از افراد در رابطه با آن اطلاعی ندارند نحوه بلیچینگ دندان و یا معنای بلیچینگ می باشد. در نظر داشته باشید این روش پیچیده نیست و به دلیل نام علمی آن نباید این روش را پیچیده شناخت. در واقع بلیچینگ دندان در تهران به فعالیتی گفته می شود که سبب سفید شدن دندان های شما می گردد.
یعنی افرادی که دندان آن ها دچار تغییرات رنگی مختلفی شده است می توانند با استفاده از این روش زیبایی را به چهره خود برگردانند. در نظر داشته باشید این روش به عنوان یکی از بهترین روش ها برای سفید کردن دندان شناخته می شود.
در نظر داشته باشید بلیچینگ دندان نمی تواند تاثیری بر روی سفید کردن دندان بر روی ایمپلنت ها و روکش داشته باشد. تنها تاثیر این روش بر روی دندان های طبیعی است.

چه زمانی نیاز به بلیچینگ دندان در تهران داریم؟
یکی از مسائلی که بسیاری از مردم کشور ما نسبت به آن نا آگاه هستند مدت زمان سفید کردن دندان می باشد. یعنی این روش درمانی باید در چه زمانی انجام گردد. قصد داریم تا با برخی از عواملی که نشان دهنده این مسئله هستند آشنا شویم تا در مدت زمان مشخصی برای این درمان اقدام کنیم.
ما روزانه مواد غذایی مختلفی را می نوشیم و می خوریم، این موضوع باعث می شود تا رنگ هر یک از این مواد غذایی با دندان ما ارتباط داشته باشد. در نظر داشته باشید در هر یک از مواد غذایی رنگ دانه هایی وجود دارد که سریعا به مینای دندان می چسبد. همچنین نیاز است که بدانید قبل از رعایت هر چیزی شما نیازمند مسواک زدن و رعایت بهداشت دهان و دندان هستید. در ابتدا باید نکات بهداشتی را رعایت کنید تا به مشکلات جدیدتر بر نخورید.
مواد غذایی که باعث استفاده از درمان بلیچینگ می شوند
همان طور که گفته شد اکثریت ماده های غذایی دارای رنگ دانه هایی هستند که این رنگ ها سبب ایجاد لکه بر روی دندان می شوند. قطعا شناخت این ماده های غذایی باعث می شود تا مصرف آن ها کاهش یابد تا شما با این مشکل نیز مواجه نشوید.
از ماده های نوشیدنی که سبب تغییر رنگ دندان می شود قهوه و شراب هستند که برخی افراد روزانه مصرف بسیار زیادی از این محصولات دارند. نیاز است که بدانید این دو ماده تاثیرات مخربی را بر روی دندان های شما دارند و لکه های عمیقی را ایجاد می کنند.
ماده هایی مانند تنباکو و نیکوتین و قطران می توانند تاثیرات بسیار بدی را بر روی نوع رنگ دندان شما داشته باشند. در نظر داشته باشید در برخی اوقات میزان مصرف ماده های ذکر شده به حدی بالا است که استفاده از روش های خانگی برای سفید کردن دندان امکان پذیر نیست بدین ترتیب باید حتما از روش های بلیچینگ دندان استفاده نمود.

قیمت بلیچینگ دندان در تهران
برای مراجعه به کلینیک های تخصصی قطعا باید با مسائلی همچون قیمت بلیچینگ آشنا باشید. این موضوع باعث می شود تا درمان خود را به شکل بهتری انجام دهید و بهترین کلینیک را از لحاظ قیمتی و کیفیت انتخاب کنید.
در حال حاضر برخی از کلینیک های دندانپزشکی زیبایی برای سفید کردن دندان یا همان بلیچینگ دندان اقدام به ارائه قیمت های سنگین می کنند. این موضوع باعث می شود تا بسیاری مردم نسبت به انجام این درمان منصرف شوند. اما نیاز است که بدانید برخی از کلینیک ها در راستای درک مردم کشور در شرایط اقتصادی نامناسب فعالیت می کنند.
البته در نظر داشته باشید با وجود تورم در کشور ایران افزایش قیمت سفید کردن دندان در تهران قطعا وجود دارد. چرا که مواد مورد نیاز برای این درمان خارجی هستند. همچنین بدانید که علاوه بر قیمت مواد، وسایل بسیار زیادی برای این درمان استفاده می شود که این محصولات نیز دچار افزایش قیمت شده اند.
اما با وجود تمامی مسائل ذکر شده، بلچینیگ دندان در تهران توسط کلینیک دندانپزشکی با مناسب ترین قیمت ها انجام می شود. کلینیک ما در سال های اخیر سعی کرده است قیمت های نوینی را به مردم کشورمان ارائه دهد. علت این موضوع نیز درک مردم در شرایط معیشتی بسیار سخت می باشد. همچنین تمامی مردم به بلیچینگ دندان یا همان سفید کردن دندان نیاز دارند. چرا که مصرف خوراکی ها و آشامیدنی های مختلف در کشور ما رواج گسترده ای دارد. بدین ترتیب اکثریت مردم به این مشکل دچار هستند.
از این رو اگر قصد انتخاب کلینیکی مجهز و شناخته شده را دارید می توانید از خدمات بلیچینگ دندان در تهران ما استفاده کنید. ما سعی کرده ایم علاوه بر استفاده بهترین مواد و بهترین امکانات، بهترین قیمت های موجود در بازار را نیز ارائه دهیم.

استفاده از خدمات بلیچینگ دندان در تهران
امروزه با افزایش کلینیک های زیبایی خدمات سفید کردن در تهران پیدا کردن یک کلینیک معتبر بسیار دشوار شده است. در این بین اما کلینیک ما توانسته است فعالیت دشوار مردم را آسان کند و با پیشینه درخشان خود نزد مردم از محبوبیتی نوین بهره مند شوند.
برای اطلاع از هزینه های درمانی بلیچینگ تهران نیز نیاز است تا با منشی های کلینیک ما تماس حاصل کنید و از اطلاعات مختلفی بهره مند شوید.
سوالات متداول
بلیچینگ دندان چیست و چگونه انجام میشود؟
بلیچینگ دندان یک روش زیبایی برای سفید کردن دندانها است که میتواند به وسیله مواد اکسید کننده قوی که بر روی دندانها قرار میگیرد انجام شود. این روش در دندانپزشکی و یا در منزل با استفاده از محصولات مخصوص ممکن است.
هزینه بلیچینگ دندان چقدر است؟
هزینه بلیچینگ دندان بستگی به نوع روش انتخابی، محل دندانپزشکی و تعداد جلسات لازم دارد. معمولاً هزینهها میتواند از چند صد هزار تومان تا چند میلیون تومان متغیر باشد.
آیا بلیچینگ دندان برای همه مناسب است؟
بلیچینگ دندان برای افرادی که دارای سلامت دهان و دندان خوبی هستند و فاقد پرکردگیهای زیاد، ترمیمهای قدیمی یا مشکلات لثهای هستند مناسب است. پیش از انجام، مشاوره با دندانپزشک ضروری است.
عوارض بلیچینگ دندان چیست؟
بلیچینگ ممکن است باعث حساسیت موقت دندانها شود، خصوصاً در برابر سرما. سایر عوارض جانبی نادر شامل تحریک لثهها و یا ناراحتیهای موقت دهانی است که معمولاً پس از پایان درمان برطرف میشوند.
چه مدت اثر بلیچینگ دندان باقی میماند؟
ماندگاری اثر بلیچینگ دندان بستگی به عادات غذایی و بهداشت دهان و دندان دارد. با رعایت بهداشت دهان و دندان و پرهیز از مواد غذایی و نوشیدنیهای رنگی میتوان اثر آن را تا چند سال حفظ کرد.
مطالب مرتبط
No post found!
ویدیو های آموزشی مرتبط

دکتر فرزانه فرخنژاد با بیش از ۲۶ سال سابقهی حرفهای در حوزه دندانپزشکی عمومی و زیبایی، یکی از چهرههای برجسته و قابلاعتماد در این حوزه محسوب میشود. ایشان در سال ۱۳۷۰ از دانشکده دندانپزشکی دانشگاه تهران فارغالتحصیل شدند و در ادامهی مسیر حرفهای خود، دورههای پیشرفتهای در زمینه دندانپزشکی زیبایی و ایمپلنت در دانشگاه علوم پزشکی تگزاس در سنآنتونیو، زیر نظر اساتید برجستهای چون پرفسور ناصر برقی (در بخش دندانپزشکی زیبایی) و پرفسور پت آلن (در بخش پریودنتولوژی)، با موفقیت گذراندهاند.
تخصص اصلی دکتر فرخنژاد در زمینهی دندانپزشکی زیبایی و بازگرداندن لبخندهای طبیعی و زیبا به بیماران است. ایشان همواره با بهروزرسانی دانش خود و بهرهگیری از جدیدترین تکنولوژیها و متدهای درمانی، به ارائهی خدماتی با بالاترین کیفیت متعهد هستند. دلسوزی، تجربه، و توجه ویژه به رضایت بیماران، دکتر فرخنژاد را به چهرهای قابل اطمینان در میان مراجعین خود تبدیل کرده است.
